Complete Guide to Ankle Arthritis: Your Treatment Options Explained

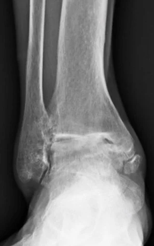
ap xray of severe post traumatic ankle arthritis

If you are dealing with ankle arthritis, you are not alone, and most importantly, you have options. Although ankle arthritis is less common than knee or hip arthritis, it can be more limiting in daily life. The encouraging news is that we have many effective treatments today, from simple changes at home to advanced surgical procedures that can eliminate pain and some even restore mobility and quality of life.¹ ²

Understanding Ankle Arthritis

What happens in your ankle joint

Your ankle is a carefully engineered hinge where your tibia, fibula, and your talus meet. Healthy cartilage coats these surfaces so they glide smoothly. Arthritis develops when this protective cartilage wears away or is damaged. Bone then grinds on bone, which creates pain, stiffness, and swelling.¹ ² PMC

What causes ankle arthritis

  • Post-traumatic arthritis is most common. It can appear months or years after an ankle fracture or severe sprain, even if the injury seemed to heal well. Damage from the original trauma accelerates cartilage wear.¹ ² PMC

  • Inflammatory arthritis happens when conditions like rheumatoid arthritis attack the joint lining and cartilage.

  • Primary osteoarthritis is the classic wear and tear form that is common in knees and hips, yet relatively rare in ankles.¹ PMC

  • Chronic instability from repeated sprains and ligament injuries gradually changes mechanics and speeds cartilage breakdown.

📖 Foot & Ankle Anatomy
A quick map of how your foot and ankle work together.

Recognizing the symptoms

Common signs include deep ankle pain with walking, morning stiffness, swelling that builds during the day, grinding or catching, difficulty on uneven ground or stairs, and sometimes night pain that disturbs sleep.¹ PMC

How We Diagnose Ankle Arthritis

Your history and exam

We start with a detailed conversation about when pain occurs, what helps or worsens it, prior injuries, and your goals. A targeted exam looks for tenderness, swelling, range of motion limits, and instability.

Imaging studies

  • X-rays are the primary tool. They show joint space narrowing, bone spurs, cysts, and alignment changes.

  • CT helps assess deformity and bone quality, especially when surgery is being considered. CTs are very important in modern ankle replacement systems to make the patient specific cut guides.

  • MRI is useful when arthritis overlaps with tendon or ligament problems.

    We use validated clinical rules, such as the Ottawa Ankle Rules, to guide imaging after injuries so you get the right tests without unnecessary radiation.² ³ ⁴

Non-Surgical Treatment: Your First Line of Defense

Many people manage ankle arthritis for years without surgery. Conservative care is always our first step.

Lifestyle modifications that make a difference

Choose low-impact exercise like swimming, cycling, or an elliptical to stay fit while reducing joint stress. Manage weight since even small losses reduce ankle load with each step. Pace activity with planned rest so swelling stays under control.

The right footwear and support

  • Rocker-bottom shoes help the ankle roll forward with less effort

  • Maximalist cushioning softens impact on hard surfaces

  • Lace-up braces or ankle-foot orthoses add stability for joints that feel like they might give way. We can make custom AFOs for you from a scan obtained in office

Medical and therapy options

Anti-inflammatory medications can reduce pain and swelling when used appropriately.

Corticosteroid injections may calm flare-ups and make therapy easier to tolerate.

Physical therapy targets strength, mobility, and balance.

Assistive devices such as trekking poles or canes can help during longer walks or hikes.


👟 Plantar Fasciitis
Practical, evidence-based strategies for heel pain relief.

When Surgery Becomes The Right Choice

If pain persists and arthritis limits your life despite good shoes, bracing, and therapy, surgery becomes the next step to relieve pain and return to activity. Two main strategies: Total ankle replacement aims to eliminate pain while preserving ankle motion. Ankle fusion eliminates motion at the joint to provide durable pain relief. Both are evidence based and have high patient satisfaction results.⁵ ¹³

Ankle Replacement, Explained

Modern ankle arthroplasty is recognized by the American Orthopaedic Foot and Ankle Society as an appropriate option for carefully selected patients and is a good options for many people with severe end stage arthritis. The procedure is not intended to give you considerable amounts of motion back, usually only preserving 10-20degrees of ankle motion total. However, it does alleviate the pain of arthritis while being protective of the surrounding joints by maintaining some motion.⁵ ¹³ ¹⁴ ¹⁵ ¹⁶

Who is a good candidate

Typical candidates have painful end-stage arthritis, adequate bone, reasonable alignment that can often be corrected during surgery, healthy soft tissues with good circulation, and realistic activity goals after recovery. Patients with uncontrolled diabetes, severe neuropathy, or major deformity are often better served by fusion.

The implant systems I discuss with patients

Stryker Infinity with PROPHECY planning
This is my primary system. Infinity is a low profile fixed-bearing implant designed to preserve bone. PROPHECY uses patient specific 3D planning from CT scans to predict component size and alignment before surgery. Published work shows the software correctly predicts tibial size about 89 percent of the time and can help greatly eliminate positioning errors of the implant and improve chances of the implants making it over 10 years.⁶ ⁷ ⁸ ¹⁷ ¹⁸ ¹¹

Stryker Inbone II with Invision revision platform
A stemmed modular tibial design that can help in poor bone or complex revision scenarios. The Invision platform allows mixing components for partial revision when appropriate.¹⁶ Stryker

Zimmer Biomet Trabecular Metal Ankle
A fixed-bearing design with porous metal to encourage bone ingrowth. Five year series report survivorship in the low to mid ninety percent range, including lateral approach cohorts.¹¹ ¹² ¹⁹ ²⁰

Exactech Vantage
A low profile fixed-bearing implant with encouraging early outcomes. Short-term studies note that radiolucency and early loosening occur more often at the tibial side, so alignment and bone quality matter.²¹ PubMed

Enovis STAR mobile-bearing
The longest studied ankle replacement platform with a mobile polyethylene insert. There have been FDA safety communications regarding specific component breakage risks in prior generations. Newer versions incorporate vitamin E blended polyethylene.²² ²³ ²⁴ U.S. Food and Drug Administration+1

What to expect: replacement versus fusion outcomes

The UK TARVA randomized trial found that both replacement and fusion significantly improved pain and walking ability at one year. The primary outcome did not show superiority overall, although a preplanned analysis favored fixed-bearing two-component replacements on some patient-reported scores. Fusion had about 12 percent radiographic nonunion and about 7 percent symptomatic nonunion at one year.¹³ Overall, the study shows patient’s overall are happy with both procedures

Why patient specific planning helps
Patient specific instrumentation can reduce fluoroscopy time and improve accuracy of the planned implant position. Several series report high agreement between the planned and implanted tibial component size, with lower accuracy on the talar side⁶ ⁷ ¹¹ ¹⁸

Ankle Fusion, Explained

Fusion remains the gold standard when durability and stability outweigh the value of preserving ankle motion. It is especially helpful in severe deformity, poor bone or soft tissue, neuropathy, and certain high-demand occupations. It is also definitive, once it is healed it is less likely than replacement to every need revision or additional hardware

Minimally invasive arthroscopic fusion

Through two or three small portals, the joint surfaces are prepared to bleeding bone, then compressed with percutaneous screws. Systematic reviews show fusion rates commonly above ninety percent with fewer wound complications than open approaches in appropriately selected patients.²⁵ PMC

Anterior ankle fusion approach

For more complex alignment issues, an anterior approach allows thorough preparation and the addition of a low profile anterior plate to crossing screws for added stiffness. Case series and technique papers report high union rates, often in the ninety to ninety six percent range.²⁶ ²⁷ European Review . This is my fusion approach of choice for most patients due to the high success rate

anterior ankle fusion with anterior ankle arthrodesis plate

The trade-offs to understand

Fusion eliminates ankle motion, which may increase stress on nearby joints over time. An umbrella review across foot and ankle fusions estimates overall nonunion near 8-12 percent, with patient factors such as smoking and poor blood flow raising risk.²⁸ By keeping even a small amount of motion you decrease the stress to the surrounding joints. However, ankle replacements are not like knee and hip replacements in that they do not last 30 years to life for most patients. 10 years on an ankle replacement is expected, the literature on 15+ is quite a bit worse. The revision options are getting a lot better though.

⚖️ Replacement vs Fusion at a Glance

Aspect Ankle Replacement Ankle Fusion
Main Benefit Preserves ankle motion and smoother gait Reliable, durable pain relief
Main Limitation Higher long-term revision risk Complete loss of ankle motion
Ideal Candidate Patient with preserved bone, moderate activity goals Severe deformity, neuropathy, or high-demand labor
Recovery 3–4 months to return to daily activities 3–6 months for bone healing
Long-Term Outlook May need revision after 10–15 years Typically permanent solution

When You Should Seek Specialized Care

Reach out if you have persistent ankle pain despite good shoes and bracing, night or rest pain, frequent swelling or giving way, difficulty on uneven ground, or a history of fractures or sprains that never fully recovered. Early evaluation helps match the treatment plan to your goals.

Takeaway

Ankle arthritis does not need to define your life. Many patients do well for years with supportive footwear, bracing, therapy, and targeted injections. When surgery is the right step, both modern ankle replacement and ankle fusion are strong, evidence based options. My job is to help you weigh motion preservation versus durability, match the plan to your anatomy and lifestyle, and deliver precise, safe care backed by research.⁵ ¹³ ²⁵

🦶 Flatfoot in Adults (PTTD)
When your arch collapses and how we treat it.

❓ Frequently Asked Questions About Ankle Arthritis

What is the most common cause of ankle arthritis?
Post-traumatic arthritis is the most common form, often developing years after an ankle fracture or severe sprain. Even if the bone healed well, the cartilage damage may continue to progress over time.

Can ankle arthritis heal on its own?
No. Once cartilage has worn away, it does not regenerate. Treatment focuses on reducing pain, protecting the joint, and maintaining function with bracing, shoes, therapy, or surgery if needed.

What is the difference between ankle replacement and ankle fusion?
Replacement preserves ankle motion by using a prosthetic joint, while fusion locks the ankle in place for reliable pain relief. Both are evidence-based, but the best option depends on age, bone quality, activity level, and goals.

How long does an ankle replacement last?
Modern implants have about 90–95% survivorship at 5 years, 80–90% at 10 years, and 70–80% at 15 years. Long-term outcomes are improving with newer implant designs and better surgical planning.

What is recovery like after ankle fusion vs replacement?
Replacement: Most patients return to daily activities within 3–4 months, with preserved ankle motion.
Fusion: Bone healing usually takes 3–6 months. The ankle no longer moves afterward, but pain relief is typically excellent.

Do braces and special shoes really help ankle arthritis?
Yes. Rocker-sole and cushioned shoes reduce joint stress. Braces and ankle-foot orthoses provide stability and often cut down pain significantly, allowing patients to remain active.

When should I see a specialist for ankle arthritis?
If pain persists despite supportive shoes and bracing, wakes you at night, or causes repeated swelling and instability, it’s time to see a foot and ankle specialist. Early evaluation keeps more options available.

📌 References available within the main article. Based on peer-reviewed studies from J Bone Joint Surg, Foot & Ankle International, and Journal of Foot & Ankle Surgery.

🦶 Recommended Support for Ankle Arthritis

These are products I frequently recommend in clinic to reduce pain and protect the ankle while staying active.

References

  1. Saltzman CL, et al. Epidemiology of ankle arthritis. J Bone Joint Surg Am. 2005.¹ PMC

  2. Herrera-Pérez M, et al. Ankle osteoarthritis review. EFORT Open Rev. 2022.² EOR Bioscientifica

  3. Stiell IG, et al. Implementation of the Ottawa Ankle Rules. JAMA. 1994.² JAMA Network

  4. Stiell I, et al. Ottawa ankle rules overview. BMJ and subsequent validations.² PMC

  5. AOFAS Position Statement. The use of total ankle replacement in select patients is appropriate and not experimental. 2021.⁵ AOFAS

  6. April PM, et al. Accuracy of patient specific instrumentation in total ankle arthroplasty. Foot Ankle Int. 2023.⁶ SAGE Journals+1

  7. Thompson MJ, et al. Weightbearing CT based patient specific planning and sizing agreement. Foot Ankle Int. 2021.⁷ PMC

  8. Mazzotti A, et al. Accuracy of implant positioning with patient specific instrumentation. J Exp Orthop. 2024.⁸ esskajournals.onlinelibrary.wiley.com

  9. Townshend D, et al. Two to five year outcomes of Infinity fixed bearing total ankle arthroplasty. Foot Ankle Int. 2023.⁹ PMC

  10. Willegger M, et al. Long term outcomes and PROMs with Infinity total ankle. Foot Ankle Int. 2023.¹⁰ PMC

  11. Noble J, et al. Comparative PSI accuracy and operative metrics. Foot Ankle Surg. 2019.¹¹ ResearchGate

  12. Kim J, et al. Five year outcomes of lateral Trabecular Metal total ankle. Foot Ankle Int. 2023.¹² PubMed

  13. Goldberg AJ, et al. TARVA randomized trial, replacement versus fusion at one year. Lancet. 2022–2023.¹³ PubMed

  14. TARVA trial registry and protocol materials.¹⁴ PubMedResearchGate

  15. AOFAS position statements and clinical guidelines portal.¹⁵ AOFAS

  16. Stryker Infinity and Inbone II with Invision platform information.¹⁶ Stryker

  17. Mustafa MS, et al. PSI guided implant positioning accuracy using WBCT. 2025.¹⁷ PMC

  18. April PM, et al. PSI software tibial size prediction about eighty nine percent, talar lower. Foot Ankle Int. 2023.¹⁸ SAGE Journals

  19. Gagné O, et al. Minimum five year outcomes of lateral TM ankle. Foot Ankle Orthop. 2022.¹⁹ SAGE Journals

  20. Mercy summary of lateral TM ankle long term cohort. 2025.²⁰ mdmercy.com

  21. Henry JK, et al. Early outcomes and tibial lucency patterns with Exactech Vantage. J Foot Ankle Surg. 2023.²¹ PubMed

  22. FDA safety communications regarding STAR ankle polyethylene breakage risk. 2021 and updates.²² U.S. Food and Drug AdministrationMoph

  23. H3 and STAR mobile bearing devices, FDA overview. 2024.²³ U.S. Food and Drug Administration

  24. Enovis updates noting vitamin E polyethylene in STAR. 2024.²⁴ U.S. Food and Drug Administration

  25. Lorente A, et al. Arthroscopic versus open ankle arthrodesis meta-analysis. Foot Ankle Int. 2023.²⁵ PMC

  26. Fiore PI, et al. Umbrella review of open versus arthroscopic ankle arthrodesis. 2022.²⁶ European Review

  27. Technique series on anterior ankle fusion with plate assisted constructs and union rates in the ninety to ninety six percent range.²⁷ European Review

  28. Coye TL, et al. Umbrella review of foot and ankle arthrodesis nonunion. J Foot Ankle Surg. 2022.²⁸ ScienceDirectjfas.org

Dr. Dawson

Hi! I’m Dr. Dawson, DPM a double board-certified Podiatrist and the creator of Feet Made Simple™, a no-fluff blog dedicated to evidence-based foot and ankle advice. I’m a full time Foot & Ankle surgeon, biomechanics nerd in my free time, and I believe strongly in clinical honesty, not gimmicks. 

Previous
Previous

Hallux Rigidus (Big Toe Arthritis): What It Is and How to Treat It

Next
Next

Ankle Sprains: Your Complete Recovery and Prevention Guide